-
라미네이트, 시리고 깨지는 걱정?!TV속에 연예인들의 입소문을 타고 세상에 빠르게 알려진 라미네이트!
빨리 예뻐질 수 있는 장점 뒤로 무분별한 시술로 인해 부작용을 겪고 있는 분들이 많아요.과연, 어떤 부분들이 라미네이트 시술의 실패로 이어지는 걸까요?

-
: 치아삭제 :원인?
치아 삭제량이 많으면 이가 시린 부작용이 발생합니다.해결!
치아의 가장 겉면인 에나멜층을 삭제하여 라미네이트 시술을 진행하는데, 아주 최소한의 양을 삭제하여 치아의 기능에 아무런 문제가 없도록 시술이 진행됩니다. -
: 시술부분의 탈락 :원인?
재료가 부적절하거나 치과에서의 경험이 적을 경우 발생합니다.해결!
라미네이트의 탈락 부분은 예상해야 한다고 생각하시지만 환자의 실수로 탈락되는 비율은 적습니다. 강한 세라믹을 사용하고 풍부한 경험을 화이트e치과는 이런 부분을 최소화 시킵니다. -
: 쓸데없는 과잉진료 :원인?
환자마다의 케이스를 보고 치아교정과 라미네이트 시술을 분류하여 치료하지않으면 그에 따른 부작용이 발생합니다.해결!
환자의 상태와 치아의 교합을 고려하여 환자에게 필요한 치료가 무엇인지 정확하게 판단하여 시술이 진행됩니다.
화이트e치과
양심 선언문
양심 선언문화이트e치과는 과도한 진료 권유를 하지 않으며, 라미네이트 치료 진행시 최소한의 치아삭제를
진행하고 정확한 치아상태 파악 후 그에 맞는 치료를 진행할 것을 약속 드립니다.
진행하고 정확한 치아상태 파악 후 그에 맞는 치료를 진행할 것을 약속 드립니다.
INTRODUCE
자연치아보다 더 자연스럽게, 라미네이트
돌출치아 또는 벌어지거나 변색된 치아를 빠른 시간 안에 가지런하고 밝게 만들어 주는 치아성형의 한 종류입니다.
치아를 아주 얇게 삭제한 후 얇은 세라믹 팁을 치아에 접착하는 시술입니다.
주로 앞니에 적용되며 원하는 모양 뿐 아니라 색의 조절도 가능하여 자연치아에 가까울 만큼 심미적으로 아주 우수합니다.
치아를 아주 얇게 삭제한 후 얇은 세라믹 팁을 치아에 접착하는 시술입니다.
주로 앞니에 적용되며 원하는 모양 뿐 아니라 색의 조절도 가능하여 자연치아에 가까울 만큼 심미적으로 아주 우수합니다.
WHO NEED TREATMENT
라미네이트 시술이 필요한 경우
01. 앞니가 삐둘삐둘하거나 돌출 된 경우
02. 앞니 사이가 벌어져 있는 경우
03. 앞니의 치아크기가 서로 다른 경우
04. 앞니 사이의 충치 치료 후 미적으로 더욱 개선시키고자 하는 경우
05. 앞니 치아가 변색 된 경우
06. 교정치료를 받기에 시간이 부족한 경우
02. 앞니 사이가 벌어져 있는 경우
03. 앞니의 치아크기가 서로 다른 경우
04. 앞니 사이의 충치 치료 후 미적으로 더욱 개선시키고자 하는 경우
05. 앞니 치아가 변색 된 경우
06. 교정치료를 받기에 시간이 부족한 경우
REASON TO PREFER
라미네이트가 좋은 이유
01. 일반 라미네이트보다 내구성이 뛰어납니다.
02. 치아의 모양을 원하는대로 디자인할 수 있습니다.
03. 최소삭제로 제작이 가능합니다.
04. 색상과 모양이 실제 치아와 거의 흡사합니다.
05. 간단하고 빠르게 시술이 가능합니다.
06. 강도가 우수하며 수명이 오래갑니다.
02. 치아의 모양을 원하는대로 디자인할 수 있습니다.
03. 최소삭제로 제작이 가능합니다.
04. 색상과 모양이 실제 치아와 거의 흡사합니다.
05. 간단하고 빠르게 시술이 가능합니다.
06. 강도가 우수하며 수명이 오래갑니다.
IMPORTANT POINT
라미네이트의 가장 중요한 성공조건의 치아삭제량!
치아의 기능을 고려하지 않은 무분별한 치아삭제는 개인에 따라 시림증상이나 통증을 일으킬 수 있습니다.
화이트E치과의 라미네이트는 무엇보다 치아 삭제량을 최소화하는데 중점을 두고 있습니다.
화이트E치과의 라미네이트는 무엇보다 치아 삭제량을 최소화하는데 중점을 두고 있습니다.
DENTOPLASTY SYSTEM
화이트E 라미네이트 시스템
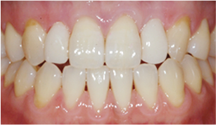
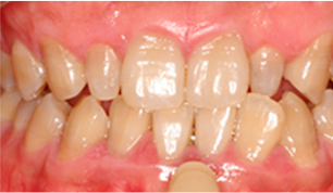
BEFORE & AFTER
CASE별 라미네이트 시술사례
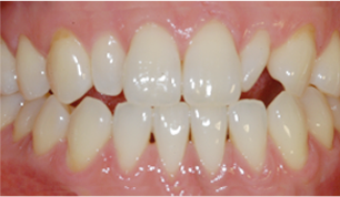
CASE

앞니가 삐뚤삐뚤하거나 손상된 경우
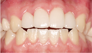
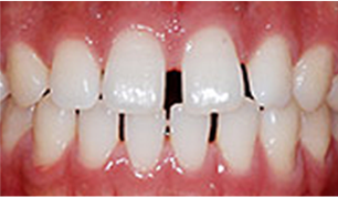
CASE

앞니 사이가 벌어져 있는 경우
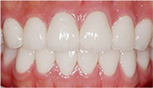
CASE

앞니의 치아크기가 서로 다른 경우
CASE

앞니치아가 변색 된 경우



- BEFORE
- AFTER



- BEFORE
- AFTER



- BEFORE
- AFTER



- BEFORE
- AFTER











