INTRODUCE
원래의 색조로 회복 또는 밝게 만드는 치아미백
치아미백이란 칫솔질이나 스케일링으로 해결되지 않는 치아의 변색을 치아성형처럼 치아의 삭제나 손상없이 미백제 성분의 약리작용을 이용하여 원래의 색조를 회복시키거나 더 밝게 만드는 치료입니다.
화이트E치과에서는 치아컬러를 대조하여 개개인의 입술과 피부, 잇몸컬러까지 고려해 가장 이상적인 컬러가 무엇인가 충분한 상담을 통해 진행합니다.
화이트E치과에서는 치아컬러를 대조하여 개개인의 입술과 피부, 잇몸컬러까지 고려해 가장 이상적인 컬러가 무엇인가 충분한 상담을 통해 진행합니다.



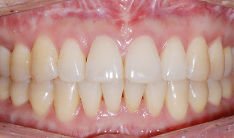
- BEFORE
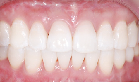
- AFTER
CAUSE DISCOLORATION
치아변색의 원인
외부적 요인
치아가 변색되는 외부적 요인으로는 커피, 홍차, 담배 등으로 인해 치아표면에 색소가 침착되어 색이 변하거나 치석이 생겨 착색되었기 때문입니다.
이러한 외부적 요인을 감소시키기 위해서는 음식을 섭취한 후에는 양치질을 꼼꼼하게 하여, 6개월에 한 번씩 스케일링을 통해 보완할 수 있습니다.
하지만, 심한 흡연에 의해 치아의 내부까지 침투된 착색의 경우네는 단순한 양치질이나 스케일링만으로지워지지 않습니다.
이러한 외부적 요인을 감소시키기 위해서는 음식을 섭취한 후에는 양치질을 꼼꼼하게 하여, 6개월에 한 번씩 스케일링을 통해 보완할 수 있습니다.
하지만, 심한 흡연에 의해 치아의 내부까지 침투된 착색의 경우네는 단순한 양치질이나 스케일링만으로지워지지 않습니다.
내부적 요인
치아가 변색되는 내부적인 요인으로는 임신 중 어머니나 치아가 성장하는 유아기 때 테트라사이클린 등의 항생제 복용으로 인해 치아가 변색된 경우나 선천적으로 치아의 색이 누런 경우가 있습니다.
내부적 요인의 경우는 치과를 내원하여 치아미백치료를 받아야만 해결이 가능합니다.
미세한 치아 변색은 약물 또는 레이저로 치료할 수 있지만, 심하게 변색된 경우에는 일부 치아성형을 통해 깨끗하고 하얀 치아를 되찾을 수 있습니다.
내부적 요인의 경우는 치과를 내원하여 치아미백치료를 받아야만 해결이 가능합니다.
미세한 치아 변색은 약물 또는 레이저로 치료할 수 있지만, 심하게 변색된 경우에는 일부 치아성형을 통해 깨끗하고 하얀 치아를 되찾을 수 있습니다.
OFFICE BLEACHING
전문가 미백(OFFICE BLEACHING)
전문가치아미백은 빠른 시간 내에 효과적으로 누런치아를 하얗게 미백하는 방법입니다.
인체에 무해한 고농도의 미백제를 사용하여 레이저나 특수광선으로 치료하기 때문에 한번의 치료만으로도 눈에 띄는
미백효과를 볼 수 있습니다.
긴 치료시간이 부담되는 직장인이나 면접준비생에게 적합한 치료입니다.
인체에 무해한 고농도의 미백제를 사용하여 레이저나 특수광선으로 치료하기 때문에 한번의 치료만으로도 눈에 띄는
미백효과를 볼 수 있습니다.
긴 치료시간이 부담되는 직장인이나 면접준비생에게 적합한 치료입니다.
"치아미백과 치아재광화 촉진을 한번에!2in1 system"
화이트E치과에서는 안전성을 인정받은 루미너스 치아미백제품을 이용하여 미백치료를 진행하고 있습니다.OOOO2제품에 비해 안전성이 우수하며 광선조사행위가 필요하지 않아 시린 걱정이 없고 짧은 진료시간으로 바쁜
직장인과 면접 준비자에게 효과적입니다.
INTRODUCE
화이트E치과 미백제 소개

01
00002 제품보다
우수한 안전성
00002 제품보다
우수한 안전성
02
광선조사시간이 없어
짧은 시간 내 진료가 가능
광선조사시간이 없어
짧은 시간 내 진료가 가능
03
광택 및 광량이 일정하여
미백효과가 우수
광택 및 광량이 일정하여
미백효과가 우수
04
진료시간이 짧아
바쁜 직장인에게 추천
진료시간이 짧아
바쁜 직장인에게 추천
TREATMENT PROCESS
루미너스 미백 시술과정







루미너스만의 특별함
01. 치아미백의 부장용 및 치아손상, 치아과민반응의 발생률이 현저히 적습니다.
02. 과산화수소를 별도 참가하여 사용하기전에 안전합니다.
03. 과산화물의 효과적인 ACTIVATING을 이끌어내어 시림증상 및 탈석회화를 효과적으로 방지하는 전문치아미백보조제입니다.
02. 과산화수소를 별도 참가하여 사용하기전에 안전합니다.
03. 과산화물의 효과적인 ACTIVATING을 이끌어내어 시림증상 및 탈석회화를 효과적으로 방지하는 전문치아미백보조제입니다.
HOME BLEACHING
자가미백(HOME BLEACHING)
자가미백이란?
자가치아미백은 집에서 간편하게 하는 미백치료입니다.
치과에서 사용하는 미백제보다 농도가 낮아서 잇몸에 자극이 덜하며,일시적인 치아 시림 현상도 최소화 할 수 있습니다.
일주일 정도 후부터 미백효과는 나타나며, 하루 2시간씩 3~4주 정도 시간이 필요합니다.
자가치아미백은 전문가치아미백 후 그 효과를 극대화시키기 위해 집에서 시행하는 경우가 대부분입니다.
치과에서 사용하는 미백제보다 농도가 낮아서 잇몸에 자극이 덜하며,일시적인 치아 시림 현상도 최소화 할 수 있습니다.
일주일 정도 후부터 미백효과는 나타나며, 하루 2시간씩 3~4주 정도 시간이 필요합니다.
자가치아미백은 전문가치아미백 후 그 효과를 극대화시키기 위해 집에서 시행하는 경우가 대부분입니다.
TREATMENT PRECAUTIONS
미백치료시 주의사항
01. 입안에 상처가 있으면 미백제와 반응해 자극이 될 수 있어 구강검진이 우선시 되어야 합니다.
02. 미백 후 시린 증상은 자연스러운 일이지만, 증상이 심하면 미백을 중단하고 전문의와 상의야 합니다.
03. 치료 전 스케일링을 통하여 치석과 외부착색을 먼저 제거하여야 합니다.
04. 치아미백 후에도 커피나 카레, 와인 등 색소가 많이 든 음식을 섭취하면 다시 착색이 진행되기 때문에 피하는 것이 좋습니다.
05. 치아미백은 모든 연령대가 가능하나 임신이나 수유 중일 때는 피해야 합니다.
06. 하얀치아를 더욱 오래유지하고 싶다면 1년에 1~2회 정도 치아미백을 해주는 것도 좋습니다.
02. 미백 후 시린 증상은 자연스러운 일이지만, 증상이 심하면 미백을 중단하고 전문의와 상의야 합니다.
03. 치료 전 스케일링을 통하여 치석과 외부착색을 먼저 제거하여야 합니다.
04. 치아미백 후에도 커피나 카레, 와인 등 색소가 많이 든 음식을 섭취하면 다시 착색이 진행되기 때문에 피하는 것이 좋습니다.
05. 치아미백은 모든 연령대가 가능하나 임신이나 수유 중일 때는 피해야 합니다.
06. 하얀치아를 더욱 오래유지하고 싶다면 1년에 1~2회 정도 치아미백을 해주는 것도 좋습니다.











