INTRODUCE
임플란트 뼈이식이란?
임플란트 시술을 위해서는 충분한 잇몸뼈가 형성되어 있어야 합니다.
환자들 중 만성치주염으로 인해 잇몸뼈가 흡수되거나, 틀니를 장기간 사용하였거나, 충치를 오랫동안 방치하여 잇몸뼈가 파괴되어 임플란트 시술을 할 정도로 충분하지 않는 경우 환자 본인의 뼈 또는 인공뼈를 이식해서 뼈의 양을 늘린 후에 임플라트 시술을 받도록 합니다.
개인마다 잇몸뼈와 양이 모두 다르기 때문에 전문의의 정확한 진단과 충분한 상담을 통해 자신에게 가장 알맞은 시술 방법을 선택하면 됩니다.
뼈 이식은 임플란트의 성공률이 높이기 위한 필수적인 치료법입니다.
환자들 중 만성치주염으로 인해 잇몸뼈가 흡수되거나, 틀니를 장기간 사용하였거나, 충치를 오랫동안 방치하여 잇몸뼈가 파괴되어 임플란트 시술을 할 정도로 충분하지 않는 경우 환자 본인의 뼈 또는 인공뼈를 이식해서 뼈의 양을 늘린 후에 임플라트 시술을 받도록 합니다.
개인마다 잇몸뼈와 양이 모두 다르기 때문에 전문의의 정확한 진단과 충분한 상담을 통해 자신에게 가장 알맞은 시술 방법을 선택하면 됩니다.
뼈 이식은 임플란트의 성공률이 높이기 위한 필수적인 치료법입니다.



- BEFORE
- AFTER
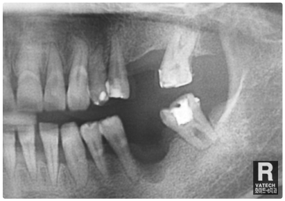
:: 엑스레이 촬영을 통하여 살펴보는 뼈이식 & 임플란트 ::

공간 확보를 위한 엑스레이 촬영
이렇게 임플란트 인공치아 뿌리를 식립하려 하는 자리에
엑스레이 촬영을 통해 공간을 먼저 봅니다.
엑스레이 촬영을 통해 공간을 먼저 봅니다.

임플란트 의사 결정
원래라면 저런 어금니 두개가 들어가 있던 자리였죠.
하지만 없으니 임플란트 궈궈!
하지만 없으니 임플란트 궈궈!

잇몸뼈 소실 복구
자~ 눈금으로 쉽게 표기해 드릴게요.
보시다시피 옆자리의 잇몸뼈의 높이보다 상당히 내려가
있습니다. 치아가 자리에 없는 동안 많은 잇몸뼈 소실이
원인입니다.
보시다시피 옆자리의 잇몸뼈의 높이보다 상당히 내려가
있습니다. 치아가 자리에 없는 동안 많은 잇몸뼈 소실이
원인입니다.

인공치아 뿌리 식립
이렇게 잇몸뼈 이식술을 통해 인공치아 기둥뿌리를 확실히
심어주는 것입니다!
심어주는 것입니다!
ALVEOLAR BONE IMPLANY FAQ
임플란트 뼈이식, 어디까지 알고있나요?
뼈이식 꼭 해야 하나요?

뼈이식술에서 사용되는 뼈이식재는 시술에 부적합한 뼈를 충전해줄 뿐만 아니라 새로운 뼈의 형성을 유도하는 중요한 역할을 하기 때문에 보다 건강하고 오랫동안 치아를 사용할 수 있도록 해줍니다.
뼈이식에 사용되는 재료는 뭔가요?

인공뼈는 타인의 뼈나 동물뼈에서 추출된 것을 사용하고 뼈의 결손 부분의 재생이나 수복을 위해 자가골이 부족한 경우 사용됩니다.
인공뼈에는 골 손상 부위의 재생을 촉진하는 성장인자 및 단백질과 미네랄 성분의 인자들이 보전되어 있습니다.
임플란트 뼈이식 많이 아픈가요?

마취가 풀린 후부터 2~3일 통증이 지속될 수 있으나 처방된 약을 복용하시고 차가운 얼음찜질로 부기와 통증을 감소시킬 수 있습니다.
화이트e치과에서는 경험이 풍부한 전문 의료진과 최첨단 장비로 통증을 최소화하고 정확하고 안전하게 시술합니다.
TREATMENT PROCESS
임플란트 뼈이식의 시술과정

01치아검진
3차원 CT와 X-RAY 촬영을 통해 잇몸뼈를 먼저 확인합니다. 잇몸뼈가 임플란트를 심기에 적당한지 확인하여, 만일 잇몸뼈가 부족하거나 강도가 약하다면 잇몸뼈 이식술을 진행합니다.

02손상된 치아 발치
뼈이식 임플란트는 먼저 손상된 치아를 발치하는 것에서부터 시작합니다. 치아를 발치하여 그 주위의 염증을 제거하고 2차원적인 치료와 부작용을 방치할 수 있습니다.

03뼈이식 진행(1차수술)
잇몸을 최소절개하여 부족한 잇몸뼈를 대신해 뼈이식를 살포한 후 뼈이식재를 보호하기 위한 보호막을 덮고 잇몸을 단단히 봉합합니다. 이후 잇몸과 이식한 뼈가 아무는데까지 3~6개월 가량 기다립니다.

04임플란트 식립(2차수술)
뼈 이식재가 잇몸뼈로 전환된 걸 확인 후 임플란트를 이상적인 위치에 식립합니다.

05보철물장착
2차 수술 후 잇몸이 아문 다음 환자의 상태를 살펴본 후 보철물을 장착합니다.
SINUS LIFT
상악동 거상술
상악동은 얼굴 코 옆에 큰 빈 공간으로 자리 잡고 있는 부분입니다. 일반적으로 치아가 상실한 후 시간이 지나면 상악동의 하단 부분이 아래로 처지게 됩니다. 치아가 없는 상태로 오랫동안 방치하게 되면 이 현상은 더 심해지게 됩니다. 그렇게 되면 임플란트를 시술 할 수 있는 충분한 공간을 확보하지 못하기 때문에 임플란트를 식립하기 위해서 뼈의 높이와 상태를 종합적으로 체크한 후 상악동 거상술을 시행하게 됩니다. 상악동의 점막을 높여주면서 상악동 사이 부분에 치조골을 이식하면서 인공치아 뿌리가 식립될 수 있도록 치조골의 조건을 만드어 주는 것이 바로 상악동 거상술입니다. 상악 임플란트 시술 중 상악동을 찢거나 잘못 건드리게 되면 상악동에 염증을 유발할 수 있으므로 다양한 시술 경험과 노하우가 있는 임플란트 의료진에게 시술받아야 합니다.



- STEP 01
- STEP 02
- STEP 03
- 치아상실 후 낮아진 뼈

- 낮아진 곳에 뼈이식

- 임플란트 식립
POSTOPERATIVE MANAGEMENT
임플란트 뼈이식 수술 후 관리
이식 당일 피가 나올 수 있는데 침을 뱉지 않도록 합니다.
수술 후 2~3일 동안은 통증이 지속될 수 있으므로 얼음찜질로 붓기를 감소시킵니다.
술과 담배는 금합니다. 수술부위에 산소 및 영양공급을 방해하여 골형성에 악영향을 미칩니다.
수술 후 2~3일 동안 칫솔질은 피하며 양치액을 사용합니다.
약 일주일 정도는 무리한 운동이나 목욕, 사우나 등은 피하셔야 합니다.
음식은 수술부위로 씹지 말고, 뜨겁거나 차가운 음식을 피합니다.








