INTRODUCE
시커먼 잇몸 이제 그만! 잇몸미백
선천적 또는 후천적으로 멜라닌 색소가 침착되어 잇몸이 검게 보이는 경우에 멜라닌 층을 제거함으로서 선홍색의 건강한 잇몸으로 개선해주는 시술입니다.
약품이나 레이저를 통해 멜라닌 색소를 제거하는 시술로서, 시술 후 회복속도가 빨리 시술 1~2주 정도면 모두 회복하여 건강하고 자연스러운 잇몸을 가질 수 있습니다.
약품이나 레이저를 통해 멜라닌 색소를 제거하는 시술로서, 시술 후 회복속도가 빨리 시술 1~2주 정도면 모두 회복하여 건강하고 자연스러운 잇몸을 가질 수 있습니다.



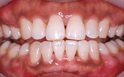
- BEFORE
- AFTER
PATHOGENESIS
잇몸색이 왜 거무스름한 걸일까?
원인은 바로 멜라닌 세포에 의한 멜라닌 색소 다량 분비!
건강한 잇몸의 색상은 선홍색을 띕니다. 하지만 얼굴색이 다양하듯 잇몸색상 또한 사람마다 차이가 있습니다.
잇몸의 색이 어두운 것은 잇몸에 멜라닌세포가 많이 분포되어 있기 때문입니다. 멜라닌세포에 의해 멜라닌색소가 다량으로 분비되어 잇몸색이 어두워지는 것입니다.
특히, 웃거나 말할 때 잇몸이 잘 드러나시는 분들의 경우 바깥으로 노출이 잦다보니 멜라닌 색소가 침착 될 수 잇는 활경을 만들어 줍니다. 잇몸의 색이 어두운 경우 간당하게 잇몸미백시술을 통해 선홍색 잇몸으로 개선이 가능합니다.
잇몸의 색이 어두운 것은 잇몸에 멜라닌세포가 많이 분포되어 있기 때문입니다. 멜라닌세포에 의해 멜라닌색소가 다량으로 분비되어 잇몸색이 어두워지는 것입니다.
특히, 웃거나 말할 때 잇몸이 잘 드러나시는 분들의 경우 바깥으로 노출이 잦다보니 멜라닌 색소가 침착 될 수 잇는 활경을 만들어 줍니다. 잇몸의 색이 어두운 경우 간당하게 잇몸미백시술을 통해 선홍색 잇몸으로 개선이 가능합니다.
NEEDER
잇몸미백, 이런 분들에게 필요합니다.
원인은 바로 멜라닌 세포에 의한 멜라닌 색소 다량 분비!
선천적, 후천적으로 멜라닌색소 침착
으로 잇몸이 변색된 경우
으로 잇몸이 변색된 경우
잦은 흡연 또는 보철물에 의해
잇몸이 변색된 경우
잇몸이 변색된 경우
HOW TO TREATMENT
잇몸미백 치료방법
- 시술방법
-
잇몸 박피술멜라닌색소는 잇몸 상피조직의 멜라닌세포 내에 존재하므로 피부과에서 진행하는 피부 박피술과 같은 원리를 통해 상피층 하방에 있는 건강한 잇몸을 바깥으로 노출시켜 주어 원래의 건강한 선홍색 잇몸으로 자랄 수 있게 해줍니다.
레이저 잇몸미백치과용 레이저를 이용하여 잇몸변색을 탈색시키는 원리로 진행하며, 출혈과 통증이 거의 없고 시술 후 일주일 이내에 거의 정상 잇몸으로 돌아옵니다. - 시술 횟수
- 환자에 따라 다르지만 변색이 심한 잇몸의 경우 약 2~3회 시술이 필요합니다.
TREATMENT PROCESS
잇몸미백 시술 과정
-
STEP 01
진찰 및 진단
정확한 진찰 및 진단을 통해
진료계획을 세웁니다. -
STEP 02
레이저 미백시술
레이저를 이용하여 색소가 침착된
잇몸 부위에 30분 정도 시술
합니다 -
STEP 03
잇몸미백 마무리
3~4일후부터 색소가 탈락하기
시작하여 5~7일 후 체크를 위한
내원을 하시면 됩니다.
INCISIOR PLASTIC FAQ
잇몸 미백, 어디까지 알고있나요?
잇몸 미백 후 다시 검게 돌아오지는 않나요?

잇몸 미백은 한번만 시술 받으면 되나요?

잇몸 미백 시술을 받는 동안 아프지 않나요?

TREATMENT PRECAUTIONS
잇몸미백 후 주의사항
시술 당일은 무리하지 않고 안정을 취하도록 합니다. 시술 당일은 과격한 운동이나 무리한 업무는 자제하시고 푹 쉬어 주시는 것이 좋습니다.
시술 후에는 약속한 검진 날짜에 내원하셔서 검진을 받도록 합니다.
시술 후에는 약속한 검진 날짜에 내원하셔서 검진을 받도록 합니다.
잇몸이 자극 받지 않도록 양치질 합니다.잇몸 성형 후 양치질은 수술 부위를 피해 잇몸에 자극 되지 않도록 살살 해주어야 합니다.
칫솔모는 부드러운 미세모를 사용하셔서 아래로 살살 쓸어내는 방법으로 해주시면 됩니다.
칫솔모는 부드러운 미세모를 사용하셔서 아래로 살살 쓸어내는 방법으로 해주시면 됩니다.
자극적인 음식을 피합니다.시술 후 일주일 정도 맵고 짠 자극적인 음식은 피해주는 것이 좋습니다.
잇몸이 완전히 회복 될 때까지는 최대한 자극을 주지 않는것이 빠른 회복을 돕습니다.
잇몸이 완전히 회복 될 때까지는 최대한 자극을 주지 않는것이 빠른 회복을 돕습니다.
음주와 흡연은 5일 정도 금하도록 합니다.잇몸 미백 후 담배와 술은 금합니다. 특히 흡연은 잇몸 색소 침착과 직접적으로 관계가
있어 재발의 위험이 있으니 계속해서 금연하시는 것을 권장합니다.
있어 재발의 위험이 있으니 계속해서 금연하시는 것을 권장합니다.











